03 декабря 2025, 12:13
ОбществоВ Бурятии врачи спасли женщину с ложкой в желудке

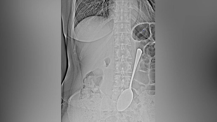
Фото: телеграм-канал "БСМП|Бурятия"
Бурятские врачи больницы скорой медицинской помощи имени В. В. Ангапова спасли женщину со столовой ложкой в желудке. Об этом сообщает "Газета.ру" со ссылкой на пресс-службу медучреждения.
Врачи использовали эндоскоп и специальные инструменты, чтобы извлечь из пациентки столовую ложку, не прибегая к сложной хирургической операции. Отмечается, что такие крупные инородные тела могут провоцировать кишечную непроходимость или перфорацию желудка.
После того как врачи вытащили ложку, пациентку отправили домой. Женщина так и не объяснила, как инородный предмет попал внутрь ее желудка.
Ранее в Подмосковье врачи спасли 15-летнюю девочку, проглотившую иголку из любопытства. В медучреждение подросток поступил с жалобами на сильную боль в горле, затрудненное дыхание и кровавую рвоту.
Специалисты провели девочке рентгенографию и гастроскопию, в ходе которых обнаружили инородное тело и отправили пациентку в хирургическое отделение. Иголку из гортани подростка извлекли с помощью эндоскопических щипцов, клинка для прямой ларингоскопии и зажима.
"Новости дня": пациентку московской больницы прооперировали с помощью робота с ИИ
Собянин: первый участок Рублево-Архангельской линии будет готов в этом году