18 ноября 2025, 13:28
ОбществоВрачи центра Рошаля спасли 4-месячную девочку с редким генетическим заболеванием

Фото: mz.mosreg.ru
Врачи Детского медицинского центра Рошаля в Красногорске спасли жизнь 4-месячной девочке с редким генетическим заболеванием – ННН-синдромом, сообщает телеканал "360".
В медучреждении рассказали, что ребенок поступил в учреждение в тяжелом состоянии с судорожным приступом. При обследовании у младенца обнаружили выпирающий родничок, увеличенный размер головы и превышение нормальной концентрации аммиака почти в пять раз.
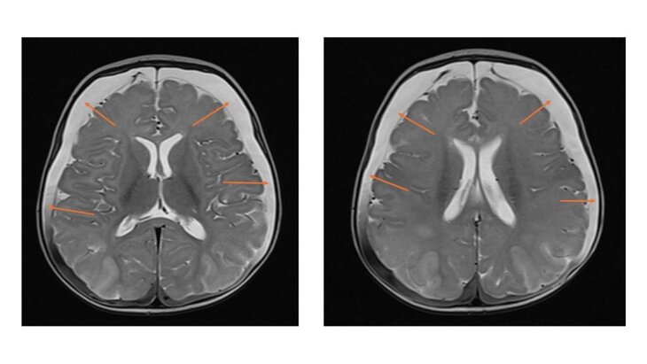
Результаты МРТ показали следы перенесенных кровоизлияний и серьезное нарушение кровоснабжения мозга. Был поставлен диагноз – ННН-синдром, при котором организм не способен перерабатывать белок, что приводит к отравлению мозга аммиаком.
"В стационаре мы подобрали лекарственную терапию, которая помогла прекратить поступление белка. Это позволило предотвратить необратимое повреждение мозга, и через 24 часа уровень аммиака снизился до нормальных значений", – отметила заведующая неврологическим отделением Ирина Ожегова.
Состояние девочки стабилизировалось, и ее уже выписали для дальнейшего амбулаторного лечения.
Ранее сообщалось, что врачи Сеченовского университета впервые в мире провели успешную операцию по восстановлению барабанной перепонки с помощью биоэквивалента из собственных клеток пациента. Операция длилась около 40 минут, что значительно меньше времени классического вмешательства.
Московские врачи спасли младенца в утробе с редким дефектом
Собянин: первый участок Рублево-Архангельской линии будет готов в этом году